Trichinen (Trichinella)

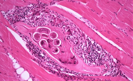
Trichinellen (Trichinella spp.) sind kleine ca. 1 mmkurz fürMillimeter lange Fadenwürmer. Sie leben als Parasiten in der Skelettmuskulatur von Säugetieren, Vögeln und Reptilien.
Die Übertragung auf einen neuen Wirt – so auch auf den Menschen - erfolgt ausschließlich durch den Verzehr von rohem Fleisch, welches die infektionsfähigen Muskellarven enthält. Die eigentliche Vermehrung findet in der Darmschleimhaut des Wirtes statt.
Trichinellose erkennen, behandeln, verhüten (Merkblatt)
Mit Trichinellen infiziertes Fleisch kann beim Menschen die Infektionskrankheit „Trichinellose“ hervorrufen. Sie ist eine mild bis schwer verlaufende Erkrankung und in Deutschland meldepflichtig. Ihre Symptome sind zu Beginn der Infektion meist unspezifisch wie Schwäche, Bauchschmerzen, Übelkeit, Erbrechen und Durchfall. Im späteren Verlauf der Erkrankung können auch Fieber, Muskelschmerzen und Ödeme im Augenbereich auftreten.
Von 2001-2010 wurden pro Jahr durchschnittlich 6 Trichinellose-Fälle beim Menschen gemeldet. Die Infektion der Verbraucher erfolgt meist über trichinenhaltiges, rohes Schweinefleisch, wie Rohwürste, Schinken oder Gehacktes, das nicht durcherhitzt wurde. Das Fleisch aller für Trichinellen empfänglichen Tiere (z.B. Haus- und Wildschwein) muss vor dem Verzehr einer Untersuchung unterzogen werden. Zu diesem Zweck werden ausgewählte Muskelproben mit der sogenannten Verdauungsmethode auf die Freiheit von diesem Parasiten untersucht.