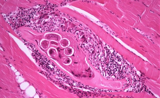
Trichinella

Trichinella (Trichinella spp.) are approximately 1mm long small nematodes. They live as parasites in the skeletal muscles of mammals, birds and reptiles.
Transmission to a new host – including humans – occurs exclusively via the consumption of raw meat, which contains the virulent muscular larvae. The actual multiplication takes place in the intestinal mucosa of the host.
Meat infected by Trichinella can cause the infectious disease "trichinosis" in humans. It is a mild to severe disease and reportable in Germany. Its symptoms are at the beginning of the infection mostly non-specific such as weakness, stomach pains, nausea, vomiting and diarrhoea. In the subsequent course of the disease there can also be fever, muscular pains and oedema in the eye area.
Between 2001 and 2010 six cases of trichinosis in humans were reported on an annual average. The infection is mostly caused in consumers by trichina-containing raw pork meat, such as raw sausages, ham or mince meat which is not heated. The meat of all animals susceptible to Trichinella (e.g. domestic pig and wild boar) must be examined prior to consumption. For this purpose selected muscle samples are examined for non-occurrence of this parasite using the so-called digestion method.